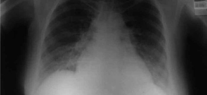
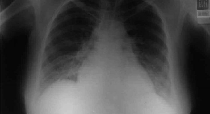
Sağlık Bakanı Fahrettin Koca, 25 Temmuz günü koronavirüs verilerini açıklarken, Kocaeli’ni pnömonili hasta sayısı oranı en çok artan iller arasında saymıştı. Zatüre anlamına gelen pnömonili vakalarındaki artış endişelendirmişi. Bakan Koca’nın bu açıklamasının ardında ise bir skandal ortaya çıktı. Kocaeli’de verilerin eksik girildiği ortaya çıktı. Sağlık Müdürlüğü’nün pnömonili verilerini yanlış girmesi sonrası ise Bakan Kocae böyle bir açıklama yapmak zorunda kalmıştı. İl Sağlık Müdürü Şenol Ergüney ise şunu doktorlara atarak, “1 hafta önce bazı doktorlarımız pnömonil verilerini eksik girmiş. Bunu fark ettik ve düzelttik. Düzeltince de doğal olarak verilerimiz yüksek gözüktü” dedi.Bu skandal olay sonrası ise Kocaeli ile ilgili bilgilerin ne kadar doğru olduğu ise tartışma konusu oldu.
- Dilovası’nda Yangın: 63 Yaşındaki Asım Bal Hayatını KaybettiParamedikler yoğun iş yükü, şiddet ve yanlış ihbarlarla mücadele ediyor!Çayırova Belediyesi’nin rakibi GöztepeCumhurbaşkanı Erdoğan’dan Gonca’nın efelerine tebrikZeray GYO’nun halka arz başvurusu onaylandıBaşkan Sezer, “Türk Kadını Her Dönemde Fedakârlıkların En Yücesini Yapmıştır”Büyükşehir mezbahasına örnek tesis vurgusuBaşkan Büyükgöz’den Gebze Esnaf Odası’na ZiyaretilanGebze’de 3 şirket konkordato kapsamında koruma altına alındı
- Bir Ayet
- Bir Hadis
- Namaz Vakitleri
- Hava Durumu
- BIST: 10959.89 0.38
- Altın: 5775.759 0.62
- Dolar: 42.5125 -0.12
- Euro: 49.5534 -0.28
Kocaeli’nin “Pnömonili” verilerini yanlış girmişler!
Sağlık Bakanı Fahrettin Koca’nın geçtiğimiz gün açıkladığı verilerde Kocaeli’nin “Pnömonili” verisi en yüksek çıkan iller arasında sayması sonrası, Sağlık Müdürlüğü’nün verileri yanlış girdiği ortaya çıktı

UYARI: Küfür, hakaret, rencide edici cümleler veya imalar, inançlara saldırı içeren, imla kuralları ile yazılmamış,
Türkçe karakter kullanılmayan ve büyük harflerle yazılmış yorumlar onaylanmamaktadır.
Türkçe karakter kullanılmayan ve büyük harflerle yazılmış yorumlar onaylanmamaktadır.
Bu habere henüz yorum eklenmemiştir.
SON EKLENEN GALERİLER
Diğer Haberler
Paramedikler yoğun iş yükü, şiddet ve yanlış ihbarlarla mücadele ediyor!Paramedikler yoğun iş yükü, şiddet ve yanlış ihbarlarla mücadele ediyor.
PREMATÜRE BEBEKLERDE 5 KIŞ TEHDİDİ!Kış ayları prematüre yani 37 haftadan önce doğan bebekler için her zaman daha zorlu geçiyor.
Yalancı Nodüller Gereksiz Tiroit Ameliyatlarına Yol Açabiliyor!Prof. Dr. Erhan Ayşan: “Yalancı Nodüller Biyopsi Gerektirmez, Yanlış Tanı Hastaları Gereksiz Yere Ameliyata Bile Götürebilir”.
Diş etlerindeki yanma ve ağrı farklı sorunların habercisi olabilir!Diş etlerinde yanma, ağrı ve aft gibi şikâyetler birçok nedenden kaynaklanabileceğini belirten uzmanlar, bu tür şikayetlerde bir hekime görünmenin önemli olduğunu söylüyor.Güncel Haberler
1/20
Cumhurbaşkanı Erdoğan'dan tarihi miting!
Padişahların sırları
Seka Kağıt Müzesi
Türk'ün İngilizceyle İmtihanı
12345678
Tüm Hakları Saklıdır © 2009 Milli Hakimiyet | İzinsiz ve kaynak gösterilmeden yayınlanamaz.
Haber Scripti: CM Bilişim
Haber Scripti: CM Bilişim

































